對她來說,電視廣告上女星白皙無瑕的肌膚,一直是遙不可及的夢想,
這以前是蓋也蓋不掉、遮也遮不好,老是在背後被人議論紛紛的胎記,
走了許多冤枉路,保養品、藥膏、偏方甚至讓她返黑的雷射,
讓她幾乎快要放棄了,直到有了755蜂巢皮秒雷射之後,
她決定再試試,再給自己一次機會、希望。
六周後,她的胎記就像被橡皮擦擦掉般消失了⋯⋯
更令她驚喜的是,連皮膚都變嫰,毛孔都變細了⋯⋯
這以前是蓋也蓋不掉、遮也遮不好,老是在背後被人議論紛紛的胎記,
走了許多冤枉路,保養品、藥膏、偏方甚至讓她返黑的雷射,
讓她幾乎快要放棄了,直到有了755蜂巢皮秒雷射之後,
她決定再試試,再給自己一次機會、希望。
六周後,她的胎記就像被橡皮擦擦掉般消失了⋯⋯
更令她驚喜的是,連皮膚都變嫰,毛孔都變細了⋯⋯
她原本只是想要擺脫自卑感,現在我比她還開心!
▋那些曾經走的冤枉路
我的身邊和門診中,就不乏花了數十萬至數百萬的除斑失敗者。
不了解自己使他們的錢全花在不該花的地方,
「知識就是財富」在變美、變年輕的殿堂是永恆的定律!
我的身邊和門診中,就不乏花了數十萬至數百萬的除斑失敗者。
不了解自己使他們的錢全花在不該花的地方,
「知識就是財富」在變美、變年輕的殿堂是永恆的定律!
很多人都知道,大部分的斑點,雷射治療是精準、有效率的治療方式。
但是許多人寧願花大把的鈔票,買一堆要價不斐或是聽起來有如仙丹的保養品,
來來回回、反反覆覆,最終才會尋求雷射。
但是許多人寧願花大把的鈔票,買一堆要價不斐或是聽起來有如仙丹的保養品,
來來回回、反反覆覆,最終才會尋求雷射。
不過問題來了,對於雷射治療的評價與分享,
除了各家診所保證有效的宣傳網頁外,網路上網友經驗分享其實是毀譽參半,
有些人確實因為雷射,改善了膚色不勻、各種斑點、色素沉澱,甚至是凹疤、毛孔、細紋等,
有些人則是無效,甚至反黑、反白,比沒有雷射前更難看(意思就是花錢讓自己變醜),可想而知會有多沮喪。
除了各家診所保證有效的宣傳網頁外,網路上網友經驗分享其實是毀譽參半,
有些人確實因為雷射,改善了膚色不勻、各種斑點、色素沉澱,甚至是凹疤、毛孔、細紋等,
有些人則是無效,甚至反黑、反白,比沒有雷射前更難看(意思就是花錢讓自己變醜),可想而知會有多沮喪。
無效
感冒時去診所看醫生,醫生會詳細的問診,
哪裡不舒服、哪裡痛,時間、頻率等等,以利醫師開出處方籤,
因為肚子痛如果吃頭痛藥,那麼你的肚子絕對還是會繼續痛。
治療斑點時也是,並不是每種斑點、問題都會有不同的治療方式,
治療臉上黑斑、膚色不勻,最重要的是先確認斑點種類,再對症下藥。
感冒時去診所看醫生,醫生會詳細的問診,
哪裡不舒服、哪裡痛,時間、頻率等等,以利醫師開出處方籤,
因為肚子痛如果吃頭痛藥,那麼你的肚子絕對還是會繼續痛。
治療斑點時也是,並不是每種斑點、問題都會有不同的治療方式,
治療臉上黑斑、膚色不勻,最重要的是先確認斑點種類,再對症下藥。
正確的判斷斑點種類,是醫師在治療前重要的工作,
這必須仰賴皮膚專科醫師的專業,與過去的經驗值,
規劃出適合這個問題的治療計畫,如此對症下藥才會發揮效果。
這必須仰賴皮膚專科醫師的專業,與過去的經驗值,
規劃出適合這個問題的治療計畫,如此對症下藥才會發揮效果。
反黑與反白
其實人種及個人膚質確實是重要因素,亞洲黃種人的黑色素細胞活性較白種人強,因此術後發炎引起之黑色素沉著及增生也較容易出現。
反黑,其實應該叫做發炎後色素沉著。
不同種類、深淺的斑,
使用不同波長的雷射,不同的雷射能量,反黑機率和反黑程度會不一樣,
有些機種、波長的雷射儀器,對於亞洲人體質確實比較容易反黑。
不同種類、深淺的斑,
使用不同波長的雷射,不同的雷射能量,反黑機率和反黑程度會不一樣,
有些機種、波長的雷射儀器,對於亞洲人體質確實比較容易反黑。
另外一個重要的原因,即是醫師操作雷射儀器時,
能量設定不恰當,或是所使用的雷射機種不適合患者的膚質,
甚至是讓患者在過短的時間內頻繁地接受雷射治療,
這些人為的因素,也可能讓臉上的斑點越打越糟,
這也是目前常見反黑的原因,意思就是大家還是得好選擇醫師,
好醫師,才會正確判斷斑點問題,使用正確的儀器、治療方式,操作時設定正確的能量。
能量設定不恰當,或是所使用的雷射機種不適合患者的膚質,
甚至是讓患者在過短的時間內頻繁地接受雷射治療,
這些人為的因素,也可能讓臉上的斑點越打越糟,
這也是目前常見反黑的原因,意思就是大家還是得好選擇醫師,
好醫師,才會正確判斷斑點問題,使用正確的儀器、治療方式,操作時設定正確的能量。
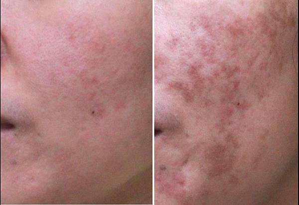
治療前 不當治療後反黑
其他因素諸如個人體質,術後是否防曬,使用保濕修護產品,
遠離熱源等都有影響,甚至同一個人不同時間接受雷射也可能反黑與不反黑之不同結果。
遠離熱源等都有影響,甚至同一個人不同時間接受雷射也可能反黑與不反黑之不同結果。
反白,並不是白色斑點,實際上是色素脫失,
通常是因為雷射能量過強,或是過度頻繁施打,
造成黑色素細胞合成黑色素(melanin)的能力 (melanogenesis)不足(長不出黑色素了)
通常是因為雷射能量過強,或是過度頻繁施打,
造成黑色素細胞合成黑色素(melanin)的能力 (melanogenesis)不足(長不出黑色素了)
過度頻繁施打,有可能造成色素脫失。
在過去皮膚科醫師們的認知裡,要在三週內做到這樣的進步其實是不太容易的,
過去傳統雷射,在這個時間點通常都還在【復原期】,
而755蜂巢皮秒雷射卻在三周就進入了【鑑賞期】,
斑點脱落、皮膚變細、毛孔變小、底色變白,還要不反黑⋯
但⋯震碎黑色素還「震」細了皮膚的蜂巢透鏡,
連同整體膚況(包含毛孔、細紋、色階、膚觸),視覺上、觸覺上都會有明顯感受,整體膚況年輕化。
這確實大大巔覆了過去的認知,而這得靠755皮雷射的【蜂巢透鏡】。
蜂巢透鏡(Focus Lens)將70%的雷射能量匯聚,
每發雷射光提供皮膚組織10%的高效震盪波作用,
震碎表皮層的黑色素細胞,同時將震盪波傳遞至深層真皮層,
啟動修復生長因子,促進膠原蛋白代謝與增生,活化新生膠原蛋白細胞。
因此細紋、毛孔甚至凹疤都會有顯著的改善,
同時很多人都會發現,「皮膚色階也都不小心一起變白」了,
整體膚觸也變得光滑、柔嫩。
每發雷射光提供皮膚組織10%的高效震盪波作用,
震碎表皮層的黑色素細胞,同時將震盪波傳遞至深層真皮層,
啟動修復生長因子,促進膠原蛋白代謝與增生,活化新生膠原蛋白細胞。
因此細紋、毛孔甚至凹疤都會有顯著的改善,
同時很多人都會發現,「皮膚色階也都不小心一起變白」了,
整體膚觸也變得光滑、柔嫩。
擁有好皮膚,白皙無瑕、吹彈可破,確實對部分的人來說,只是奢侈的夢想,
這些長期跟著他們的斑點、胎記等各種皮膚問題,
甚至讓她們感到自卑,而醫美雷射,讓她的擺脫困擾卻束手無策的問題,
帶給她們的,除了外貌上的自信,心理上、情緒上更有著巨大的轉變。
這些長期跟著他們的斑點、胎記等各種皮膚問題,
甚至讓她們感到自卑,而醫美雷射,讓她的擺脫困擾卻束手無策的問題,
帶給她們的,除了外貌上的自信,心理上、情緒上更有著巨大的轉變。
美麗並不能與虛榮劃上等號,很多時候,人們只是希望讓自己變得有自信!





























皮秒雷射






林上立醫師為主辦單位邀請的【重磅】嘉賓。










